Book Appointment Now
Dental Fillings
Painless, Natural-Looking Dental Fillings in Scarborough
Toothache? Cavity? Let’s fix it fast. At Markham Gateway Dentistry, we offer composite dental fillings that look just like your real teeth—without the pain or hassle
- Located in Scarborough near Markham Road & Steeles
15+
Years Experience
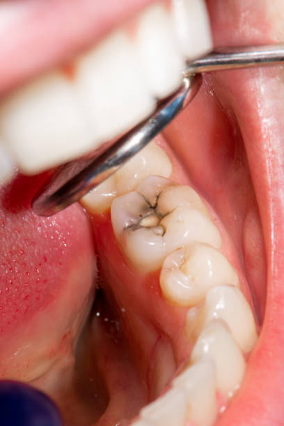
WHAT IS IT ?
What Is a Dental Filling?
A dental filling is a restorative treatment used to repair decayed, damaged, or worn-down teeth. After removing the cavity or damaged portion, your dentist fills the space with a durable material—restoring strength, function, and appearance.
At our Scarborough clinic, we use tooth-colored composite resin to create seamless, long-lasting results that match your natural smile.
DENTAL FILLINGS
When Do I Need a Dental Filling?
You may need a filling if you’re experiencing:
- Sensitivity to hot, cold, or sweet foods
- A dull ache or sharp pain when chewing
- Visible dark spots or holes in your tooth
- A chipped or cracked tooth
- A previously filled tooth that feels loose or painful
- Food getting stuck in one specific area
The earlier you treat it, the less invasive (and less expensive) it is.
WHY CHOOSE US
Why Choose Us for Dental Fillings in Scarborough?
When choosing a dental practice for your teeth cleaning, factors like expertise, technology, and comfort matter. Here’s why residents across Markham and Scarborough trust us:
Natural-Looking Results
We use advanced resin materials that blend perfectly with your real teeth for seamless, invisible cavity repairs every time.
Located Minutes from Markham
Right on Steeles & Markham Road, we’re a top choice for families in Scarborough, Milliken, and nearby Markham seeking quality, local dental care.
Fast Appointments. Minimal Downtime.
No waiting weeks—we offer same-day cavity care with quick recovery to get you back to smiling fast.
Trusted by Hundreds of Scarborough Families
Markham Gateway Dentistry is known for gentle care, honest advice, and 5-star reviews that reflect our patient-first philosophy.
Insurance Accepted + Transparent Pricing
We work with most Ontario dental insurance providers and provide clear quotes upfront so you always know what to expect.
Advanced Technology for Precise Treatment
We use digital X-rays and modern tools to detect and treat cavities early with maximum precision and comfort.
THE TYPES
Types of Fillings We Offer
Not all cavities are the same, and neither are the fillings. We offer a range of durable, tooth-colored, and metal-free filling options to restore your smile with comfort, strength, and natural aesthetics.
We’ll recommend the best material for your specific tooth, bite force, and cosmetic goals.
Composite Resin (White Fillings)
Tooth-colored material that blends naturally with your teeth.
- Front & back teeth
- 5–10 years
Amalgam
(Silver Fillings)
Durable metal alloy used for strong, long-lasting back fillings.
- Back molars
- 10–15 years
Ceramic Fillings /
Inlays
Porcelain-based, lab-crafted material for larger cavity coverage.
- Larger cavities
- 10–15 years
Glass
Ionomer
Releases fluoride to help protect and strengthen surrounding teeth.
- Kids, root surfaces
- 3–5 years
We’ll recommend the best material for your specific tooth, bite force, and cosmetic goals.
OUR PROCESS
Our 4-Step Dental Filling Process
1
Exam & Digital Imaging
We use X-rays and high-resolution cameras to check the depth and location of decay.
2
Gentle, Painless Decay Removal
Your tooth will be numbed, and all decay is removed using modern techniques.
3
Composite Filling Placement
We layer and shape the composite resin, curing it with light for a secure, lasting bond.
4
Bite Adjustment & Polishing
We test your bite for comfort and polish the filling for a smooth, natural finish.
Most fillings are completed in just 30–45 minutes.
Ready for a Cleaner, Healthier Smile?
Don’t wait to protect your oral health and boost your confidence. Schedule your professional teeth cleaning with Markham Gateway Dentistry today and experience the difference.
Working Hours
Monday
9am – 8pm
Tuesday
9am – 8pm
Wednesday
9am – 8pm
Thursday
9am – 8pm
Friday
9am – 8pm
Saturday
9am – 8pm
Sunday
9am – 8pm
What Happens If You Don’t Treat a Cavity?
Untreated cavities don’t heal on their own. Without prompt care, they can worsen into deep decay, cause severe tooth pain, infection, and eventually lead to root canal treatment or permanent tooth loss.
- Grow deeper and infect the pulp (nerve of the tooth)
- Cause severe pain and require a root canal
- Lead to tooth loss or expensive crowns
- Spread bacteria to surrounding teeth
- Trigger swelling, abscesses, and jaw issues
- Testimonials
Real stories of exceptional care and transformative smiles
I’ve struggled with dental anxiety since I was a kid, and the idea of a root canal absolutely terrified me. But Dr. Lee took the time to listen and recommended gentle sedation, which completely changed the experience. I felt calm, comfortable, and before I knew it, the procedure was done. For the first time in my life, I walked out of a dental clinic without fear—and with a huge sense of relief.
Priya K.
Scarborough
When my daughter broke her front tooth, I was frantic and didn’t know where to turn—but this clinic got us in the very same day. From the front desk to the dental staff, everyone was compassionate, professional, and quick to act. They made my daughter feel safe, repaired the tooth beautifully, and treated us like family. I can’t thank them enough for the care we received in such a stressful moment.
Michael D
Scarborough
I had always been insecure about my teeth, and after much hesitation, I decided to explore veneers with Dr. Lee. From the first consultation to the final result, the entire process was smooth and surprisingly exciting. The veneers look so natural—just brighter and more balanced—and I finally feel proud to show off my smile. Honestly, it’s one of the best decisions I’ve made for my self-confidence.
